Начало
Клиниката
Услуги
Цени и условия
Портфолио
Блог
Контакти
bg
BG
Начало
/
Портфолио
/
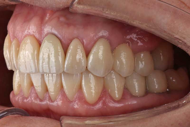
Възстановяване на липсващи зъби, функция и естетика с импланти и циркониеви корони
Възстановяване на липсващи зъби, функция и естетика с импланти и циркониеви корони
Възстановяване на липсващи зъби, функция и естетика с импланти и циркониеви корони.
Cookie Consent by
Free Privacy Policy Generator
Update cookies preferences